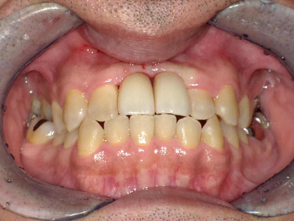
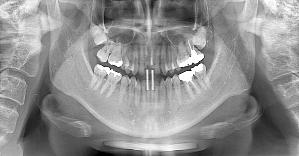
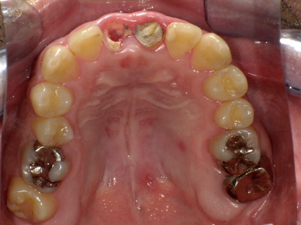
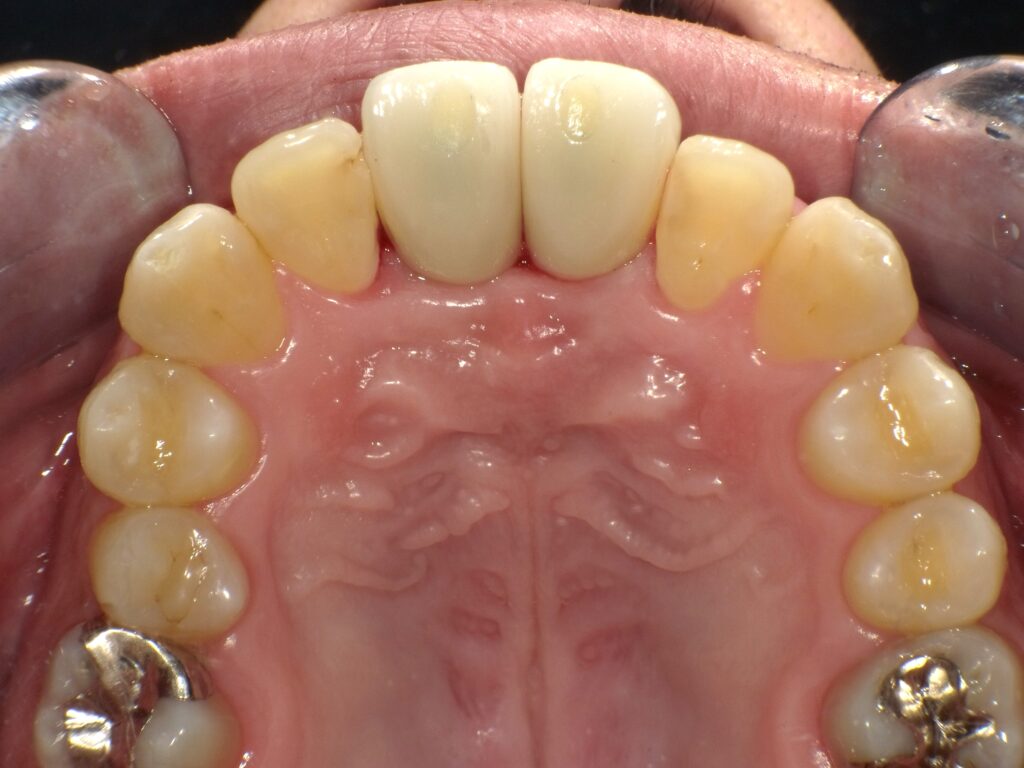
症例一覧 インプラント症例3 2024.11.25 治療内容インプラント主訴前歯部折れたのでインプラント治療を行いたい費用¥1259,500(2本)治療期間治療期間 7ヶ月 インビザライン症例1 前の記事 インプラント症例2 次の記事