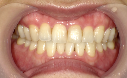
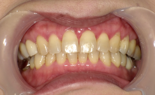
ホワイトニングとは、歯の表面や内部に付着した黄ばみや着色を、専用の薬剤(ホワイトニング剤)を使用して漂白し、歯を自然な白さにする治療方法です。歯の黄ばみや着色は、飲食物や加齢、生活習慣などが主な原因となります。歯のクリーニングでは、表面の着色や汚れのみきれいになりますが、ホワイトニングを行うことで内部の着色もきれいになり、明るく健康的な自然な歯の白さになります。
当院では、ホワイトニングを行うことで患者さまに自信を持ってもらえるようにすることを目的としています。また、歯の機能的に問題がない方に対して、ホワイトニングをご提案しています。
ながみね歯科クリニックでは、以下の3種類のホワイトニングメニューをご用意しています。
ホームホワイトニングとは、患者さまがご自宅で行えるホワイトニングの方法です。専用の薬剤とオーダーメイドのマウスピースを使用し、歯を徐々に白くしていきます。自分のペースで取り組めるため、忙しい方や自然な白さを求める方におすすめの方法です。

オフィスホワイトニングとは、歯科医院で行う即効性のあるホワイトニング治療です。歯科医師または歯科衛生士が施術を行うため、安全性が高く、短時間で歯を白くできるのが特徴です。結婚式や大切なイベントを控えた方、すぐに効果を実感したい方におすすめの方法です。

デュアルホワイトニングは、オフィスホワイトニングとホームホワイトニングを組み合わせたホワイトニング方法です。それぞれのメリットを活かし、短期間で効果を実感できる即効性と、長期間にわたる白さの維持を両立するのが特徴です。「特別なイベントまでに白くしたい」「長く美しい白さを保ちたい」という方に特におすすめのホワイトニング方法です。

当院では、以下の流れでホームホワイトニングを進めています。
審美歯科の一番のメリットは、見た目が美しくなることです。歯の色や形を整えることで、自然で綺麗な笑顔を手に入れることができます。ホワイトニングやセラミックの被せ物を使うことで、白く輝く歯や整った歯並びを実現します。
見た目が綺麗になると、自分自身への自信も自然と高まります。笑顔に自信が持てるようになると、人前で話すことが楽しくなったり、仕事でも積極的に行動できるようになります。実際に、審美歯科の治療を受けた方から「堂々と笑えるようになった」という声を多くいただいています。
審美歯科は見た目の改善だけではなく、お口の健康を守ることにもつながります。例えば、詰め物や被せ物を適切に行うことで虫歯の再発を防ぎ、噛み合わせを整えることで食事も快適になります。また、歯並びが整うことで、歯磨きがしやすくなり、お口全体の健康を保ちやすくなります。
審美歯科は見た目の改善だけではなく、お口の健康を守ることにもつながります。例えば、詰め物や被せ物を適切に行うことで虫歯の再発を防ぎ、噛み合わせを整えることで食事も快適になります。また、歯並びが整うことで、歯磨きがしやすくなり、お口全体の健康を保ちやすくなります。
患者さまの希望する白さや治療期間を詳しく伺います。「どの程度白くしたいか」「自然な白さが良いか、目立つ白さが良いか」など、具体的なイメージを共有し、治療の流れや効果、注意点についてわかりやすく説明します。また、検査では、歯や口腔内の状態を確認します。
ホワイトニングの効果を最大限引き出すために、施術前に歯のクリーニングを行います。飲食物による着色汚れやタバコのヤニ、歯石などを専用の機械で除去します。
オフィスホワイトニング薬剤から歯肉を保護するため専用の保護材を塗布し、薬剤が直接触れるのを防ぎます。
高濃度のホワイトニング剤を歯の表面に均一に塗布します。その後、薬剤を活性化させるため、特殊な光を歯に照射します。患者さまの歯の状態や希望する白さに応じて、数回繰り返します。
施術後、患者さまと一緒に仕上がりをチェックし、歯の白さを確認します。施術後に、フッ素などで歯の保護を行います。
ホワイトニングを安全にかつ満足のいく結果を得るためには、いくつか注意すべき点があります。当院では、患者さまに安心して治療を受けていただけるよう、以下のポイントを丁寧にご説明しています。
ホワイトニングの効果は、生活習慣や時間の経過によって徐々に薄れることがあります。着色しやすい飲食物(コーヒー、紅茶、赤ワインなど)や喫煙などが原因で、元の歯の色に状態に戻ってしまうことがあります。ホワイトニングの効果を長持ちさせるためには、定期的なメンテナンスと継続したホワイトニングが必要です。

ホワイトニング後の歯は、特に最初の24〜48時間が着色しやすい状態になっています。カレー、コーヒー、紅茶、赤ワイン、チョコレート、トマトソースなど、色の濃い食品や飲み物は避けましょう。タバコのヤニはホワイトニング後の歯に特に影響を与えるため、できる限り喫煙を控えてください。

当院の虫歯治療では高倍率のマイクロスコープを使用しています。
歯科用マイクロスコープは約20倍まで対象物を拡大できるため、肉眼では見ることのできないところまで鮮明に見ることができます。
マイクロスコープを使用すると、削り残しや削る量を最低限に抑え、より質の高い虫歯治療が行えます

ホワイトニング中や施術後、一時的に知覚過敏を感じることがあります。通常、数日以内に治まりますが、症状が強くなる際には早めにご相談ください。

ながみね歯科クリニック、では、ホワイトニング前のPMTCをおすすめしています。汚れがある状態でホワイトニングを行うと、歯の表面がバイオフィルムにおおわれていることで薬剤が弾かれてしまい、十分に薬剤が作用しなかったり色ムラになってしまったりします。
追加の薬剤で再度ホームホワイトニングをする際も、PMTCを受けましょう。1回完結プランのほか、1年分のセットプランもあります。
ガムピーリングとは、歯肉の黒ずみや色素沈着を取り除き、健康的で美しいピンク色の歯肉を取り戻す治療法です。歯肉の黒ずみは審美的な観点から気になる方が多く、特に笑顔や会話の際に自信を持ちたいと考える方におすすめです。

・短時間で効果を実感できる。
・健康的で明るいピンク色の歯肉を取り戻せる。
・痛みが少ない
・治療後の回復が1週間程度と早い
・使用する薬剤にアレルギーがある場合には適応できない
・ガムピーリング後、数日間歯肉が違和感が出ることがある
・歯肉退縮のリスクがある
ウォーキングブリーチとは、神経を抜いた歯(失活歯)の内部から漂白する治療法です。失活歯は神経の損傷や治療の影響で黒ずんだり黄ばんだりすることがあります。神経を抜いた歯は内部の構造が変化し、通常のホワイトニングでは効果が得られないため歯の内部に漂白剤を充填し、内側から歯を白くしていきます。
虫歯の主な原因となるのがミュータンス菌です。この細菌は、酸を産生し歯を溶かすことで、虫歯を発生させます。
口の中にはたくさんの種類の菌がいますが、そのなかでも虫歯菌が多いほど虫歯のリスクが高まります。
ウォーキングブリーチは、治療する歯の裏側に小さな穴を開け、そこから内部に薬剤を注入して歯を白くします。セラミック治療の場合、被せ物を装着するために歯を大きく削る必要がありますが、ウォーキングブリーチは小さな穴を開けるだけで治療が可能なため、歯を大きく削ることなく治療ができます。
ウォーキングブリーチは、歯の内部から漂白を行うため、歯や歯肉への負担が少なく、安全性が高い治療法といえます。副作用が少ないため、患者さまの体に優しい方法として評価されています。
お問い合わせ・ご予約は
Copyright (c) 2024 ながみね歯科クリニック All Rights Reserved.