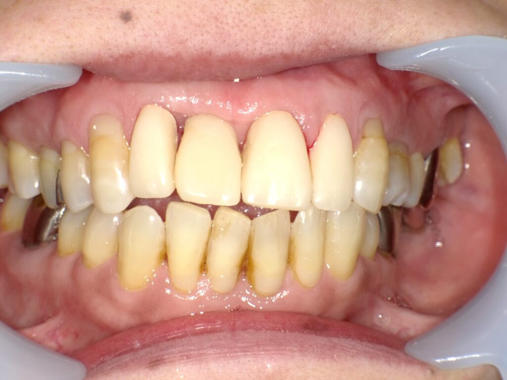
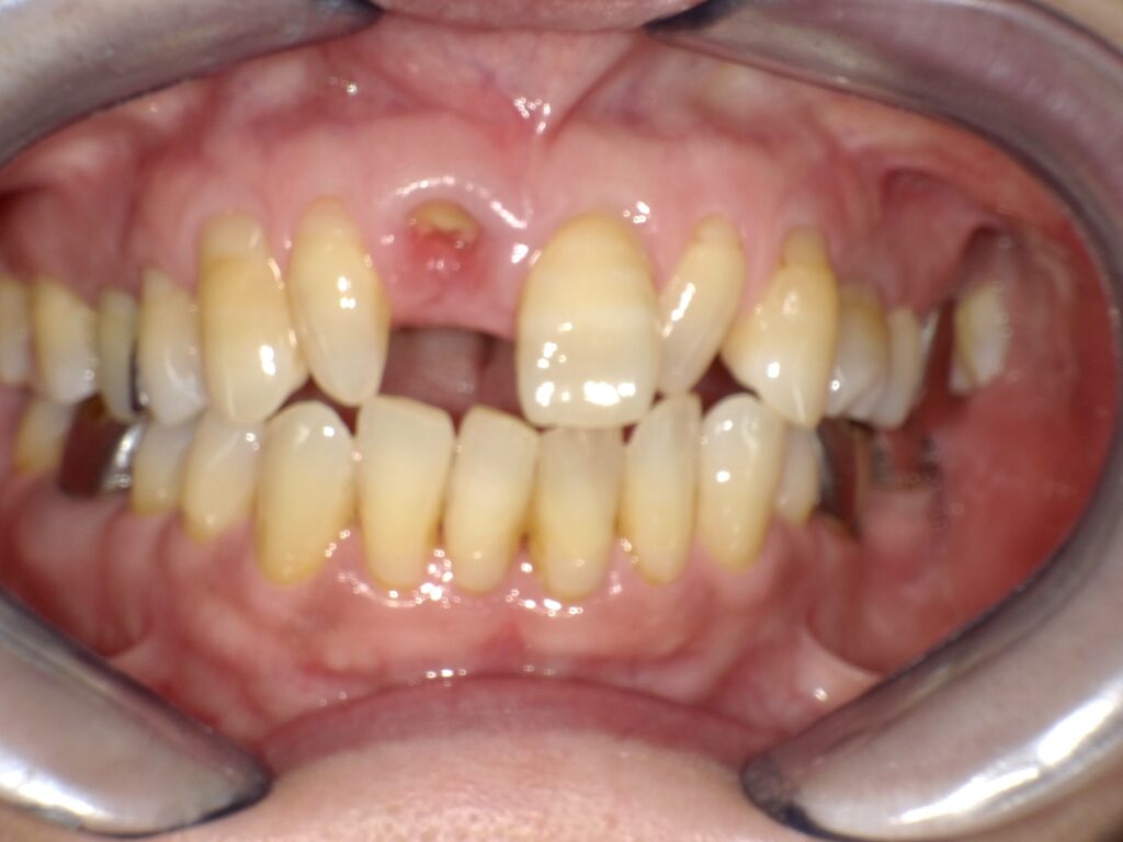
症例一覧 インプラント症例1 2024.11.25 治療内容インプラント主訴前歯部破折したためインプラント治療を行いたい費用¥671,000(1本)治療期間8ヶ月 インプラント症例2 前の記事 インビザライン症例2 次の記事