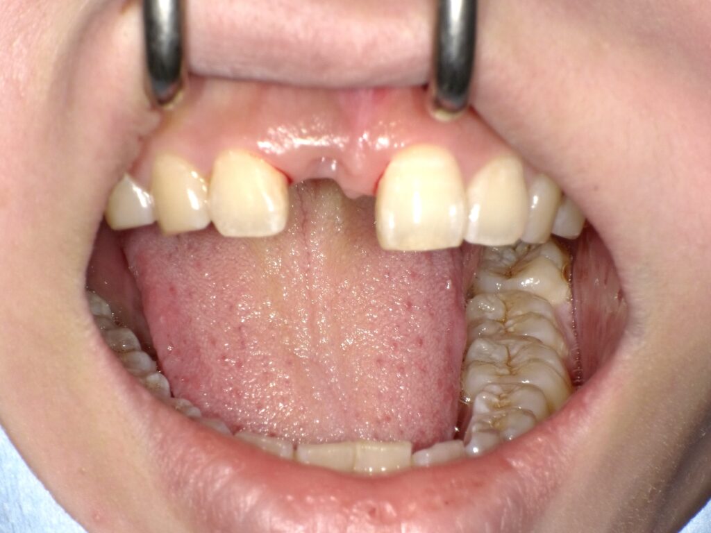
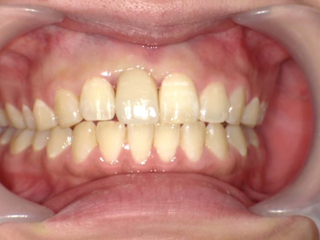
症例一覧 インプラント症例2 2024.11.25 治療内容インプラント主訴前歯事故で折れたのでインプラント治療を行いたい費用¥946,000(1本)治療期間7ヶ月 インプラント症例3 前の記事 インプラント症例1 次の記事