サービスサンプル4
サービスサンプル3
サービスサンプル2
サービスサンプル1
症例一覧
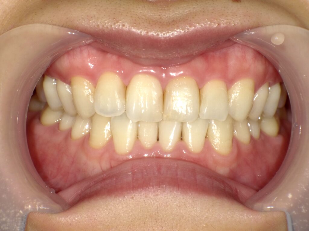
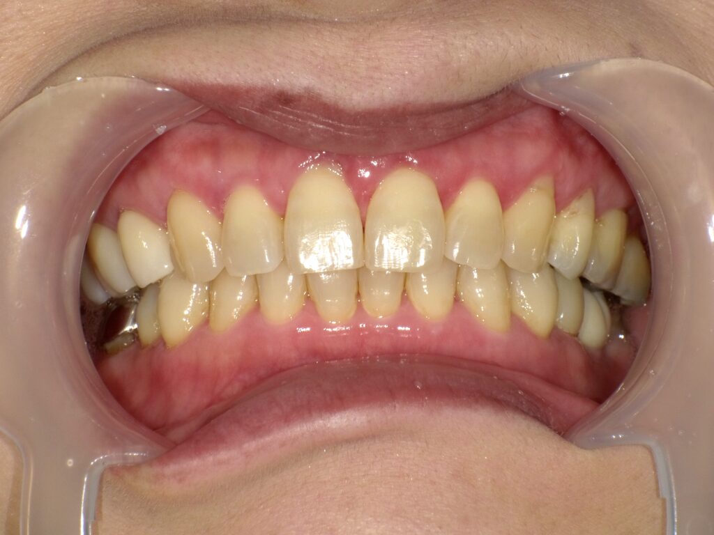
ホワイトニング症例3
前の記事
インプラントロケーター義歯症例1
次の記事
2025.12.18
2024.11.25